Bone Tumors
Bone tumors develop when cells within a bone divide uncontrollably, forming a lump or mass of abnormal tissue. Most bone tumors are benign (not cancerous). Benign tumors are usually not life-threatening and, in most cases, will not spread to other parts of the body. Depending upon the type of tumor, treatment options are wide-ranging—from simple observation to surgery to remove the tumor.
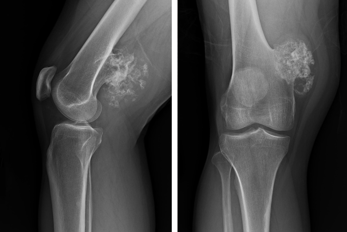
Some bone tumors are malignant (cancerous). Malignant bone tumors can metastasize—or cause cancer cells to spread throughout the body. In almost all cases, treatment for malignant tumors involves a combination of chemotherapy, radiation, and surgery.
Benign Tumors
In some cases, it may be required to remove the tumor (excision) or another surgical technique to reduce the risk of fracture and disability.
Malignant Tumors
Limb salvage surgery. This surgery removes the cancerous section of bone but keeps nearby muscles, tendons, nerves, and blood vessels intact where possible. Tumor is taken out along with a portion of healthy tissue around it. The excised bone is replaced with a metallic implant (prosthesis), bone from elsewhere in your body, or bone from a donor.
Amputation. Amputation is surgery to remove all or part of an arm or leg. It is usually used when a tumor is large and/or nerves and blood vessels are involved. A prosthetic limb can aid function after amputation
