Knee Replacement
Primary or Total knee replacement
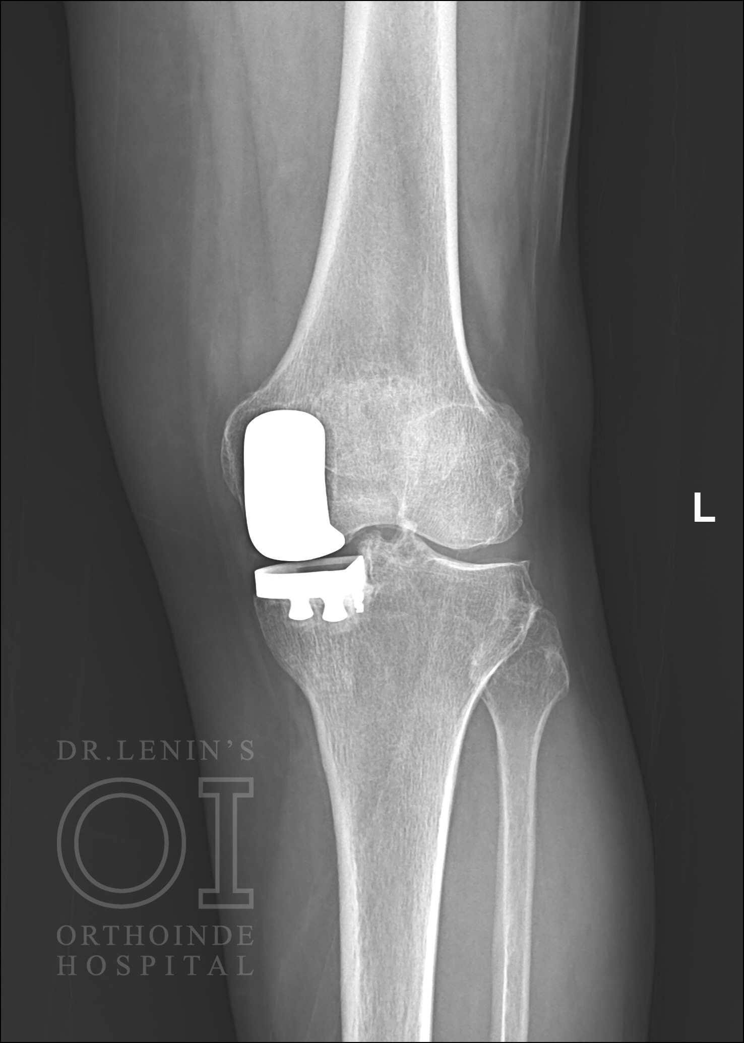
An Introduction to Primary Knee Replacement
If the procedure is a simple replacement of the total knee, the surgery is called Primary Knee Replacement. Primary Knee Replacement surgery is also referred as Total Knee Arthroplasty or TKA in short
Who can get Primary Knee Replacement?
Arthritis is the biggest problem that affects the knee joint. There are more than hundred types of arthritis that can affect and damage the knee joints. The common types of arthritis are degenerative arthritis (due to aging), rheumatoid arthritis, gouty arthritis, psoriatic arthritis, etc. Post-traumatic arthritis can also lead to knee damage. Apart from the different types of arthritis, problems caused by slight misalignment of any of the leg bone can also cause wear and tear of the cartilage and damage them.
When the degree of damage passes a threshold, primary knee replacement is recommended.
Minimally Invasive Primary Knee Replacement Surgical Procedure
In most of the primary knee replacement procedures, the joint surfaces at the end of thigh bone and the top of the shin bone are replaced. Sometimes the under surface of the kneecap (called the patella) is replaced with specialized plastic domes. But this decision is taken by the surgeon after studying individual cases. The orthopaedic surgeon always prefers to retain the natural patella. But if situation warrants then patella is replaced. At times, this decision is made during the surgery also.
Difference between Minimally Invasive Primary Knee Replacement and Conventional Primary Knee Replacement
- The incision made in conventional primary knee replacement is between 8 to 10 inches whereas in minimally invasive primary knee replacement, the length of the incision made is between 3 to 4 inches only.
- In conventional method the quadriceps muscle on the thigh is generally cut to expose the thigh bone. Whereas in minimally invasive method the muscle is lifted and pushed aside rather than making a cut. The quadriceps muscle is completely preserved in this method. The power in the Quadriceps muscles is the key in recovery after the surgery. Hence patients in minimally invasive method recover faster.
- In conventional method the shin bone is moved from its position (dislocated) vis-a-vis the thigh bone for fitting the prosthetics or implants. In minimally invasive procedure however, the shin bone is not dislocated from its position. This helps in faster recovery, and less pain after surgery.
- Similarly in conventional method, the patella or the knee cap is turned 180 degrees to get to the femur and tibia. In minimally invasive procedure however, the patella is just pushed aside. This helps in faster recovery, and less pain after surgery.
Partial (Unicompartmental) Knee replacement
If arthritis affects the only side of the knee out of the three compartments with intact ligaments, then a unicompartmental knee replacement is recommended instead of a total knee replacement. Generally, the inner compartment (medial) of the knee is more affected than the other two.
Who can get Unicompartment Knee Replacement?
- If the patient’s arthritis has advanced only in one compartment of the knee and the rest two are intact.
- If a patient has only one compartment affected and does not have a condition called inflammatory arthritis like rheumatoid arthritis, psoriatic arthritis, etc., then they can be eligible for unicompartment or half-knee replacement surgery. In other words, arthritis should not be an inflammatory one.
- If the patient has only one compartment affected and also there is no significant knee stiffness.
- If the patient does not have ligament damage despite one compartment getting affected due to arthritis.
- If the ligaments around the implants become damaged and cause instability.
- If the implants have caused stiffness of the joint and affect the mobility of the patient.
- If the bone around the implant fractures due to any fall or trauma.
Unicompartment Knee Replacement Surgical Procedures
- The ortho surgeon makes an incision in the front part of the knee to check all the three compartments for their condition.
- Through the available x-rays and CT scans, the surgeon might have decided to go for uni-compartment knee replacement. But during the actual surgery, the surgeon will check if the two other knee compartments are healthy and the ligaments are intact.
- If the surgeon has an iota of the doubt if the unicompartment knee replacement will be unsuitable, then a total knee replacement would be performed. This contingency would be discussed with all patients who have been assessed for fitting uni-compartment knee replacement.
- If the surgeon finds the patient fit to undergo uni-compartment knee replacement, the surgeon would prepare the bone using special saws. The cartilage from the damaged knee compartment would be removed and the bone would be shaped to take in the impact
- The metal covering of the unicompartment knee replacement is then placed to the bones (both the thigh bone and the shin bone) and cemented firmly.
- Then the surgeon proceeds to place a plastic insert between the two metal implants to create a smooth moving surface.
- The muscles are then stitched together and a drain is placed which assists in healing. The wound is then drapped in dressings and the patient is moved out of the surgical theatre.
Advantages of Unicompartment Knee Replacement
- Since the incision made is smaller, the ligaments inside the knee joints are preserved, and only one compartment is surgically treated, the recovery is much faster than the primary or total knee replacement.
- Less pain and less blood loss when compared to primary or total knee replacement.
- Better function of the knee joints.
Complex Primary Knee Replacement
If the total knee replacement requires correcting some bone deformities that may be natural or due to any previous surgeries, or which involves torn ligaments, then the knee replacement becomes complex and hence referred as Complex Knee Replacement.
Who can get Complex Knee Replacement?
People with arthritis accompanied by other complex conditions that are mentioned below are suitable candidates for Complex Knee Replacement.
- Arthritis with severe deformities.
- Any old fracture in the femur or tibia where the bone has set and healed in a deformed position.
- Any old trauma where the femur or tibia have suffered extensive bone loss
- Any old fracture or other surgeries in the femur or tibia where they have been fixed with plates and screws
- Any injury due to fall or trauma where the ligament has torn or stretched and has made the knee grossly unstable.
Complex Knee Replacement Surgical Procedure
As said the complexity and the procedures involved in complex knee replacement surgery depends on the additional deformities that need to be corrected apart from the knee replacement. So this surgery procedure would involve many additional surgical procedures along with the usual primary knee replacement surgery.
The complex procedures that may be involved in the surgical procedure are listed below. It may be noted that more than one procedure enlisted below along with the primary knee replacement may be required to complete the complex knee replacement surgical procedure.
- If the bone (either femur or tibia) is deformed ligament release and longer stem might be necessary.
- If the bone loss is significant due to trauma or because of any a tumour, then a large part of the bone may be replaced by a custom-made prosthesis.
- Re-tensioning of the ligaments and the other soft tissues that surrounds the structure.
- If a deficit exists between hard and soft tissues, then the stability of the knee can be achieved by using “Rotating Hinge-type Knee Replacement”.
Challenges in Complex Knee Replacement Surgery
Generally, complex knee replacement surgery can throw many challenges. The challenges are given below.
- Pre-operative planning is adequately required in any complex knee replacement surgery
- Restoration of the correct length of the lower limb is a challenge.
- Sometimes even during the ongoing surgery, the chances of deciding to replace the implants that were planned might be taken.
- The greatest challenge is to provide accurate alignment, knee bending and mobility. One such example for complex knee replacement is Sliding Osteotomy of the Lateral Condi for severe valgus knees.
Severe Valgus knees and the Challenges Presented
- Valgus knees are knees that are bent inwards. When the knee bends inward, the legs are not aligned straight. The foot becomes apart as a result. They are also called knocked knee. The more the degree of the bend the more severe is the valgus knee condition.
- Conditions like rheumatoid arthritis, osteoarthritis and other forms of arthritis, and a previous surgery involving the tibia or the shin bone can lead to a valgus knee.
- Severely valgus knees are a challenge restoring when it comes to total knee replacement. The surgical procedures are often complex because the bone abnormalities have to be addressed and the axis has to be restored accurately.
The other challenges are the orientation of all the implant components and the joint stability.
Some Surgical Procedures of the Sliding Osteotomy of the Lateral Condyle for severe Valgus knees- In sliding osteotomy of the lateral condyle, the tibia or the shin bone is taken up for a correction first (Tibia first technique).
- Then the thigh bone is subjected to distal cut.
- If the extension gap remains and is trapezoidal, lateral condyle region of the thigh bone is subjected to sliding osteotomy. The excess bones are subject to resection and then the needed screws are fixed.
- Dr. Lenin is the pioneer who introduced this technique in India
Why Dr. Lenin is the best when it comes to Restoring Severe Valgus Knees using Complex Knee Replacement?
Every individual has unique knees and the challenges posed by them are also unique.
Lenin understands this complexity and his vast experience in surgically correcting deformities of the knee gives him a unique advantage. He is the pioneer who introduced sliding osteotomy of the lateral condyle in India.
The surgeon has vast experience in the lateral approach of the knee as well as sliding osteotomy of the lateral condyle which gives him a great advantage.
More pre-operative planning is done by Dr. Lenin before surgically correcting the severe valgus knee.
RevisionIf the already placed knee implants must be replaced, such a surgical procedure is termed as Revision Knee Replacement. Total or Primary Knee Replacement is one of the most successful knee replacement surgical procedures. But many reasons can be attributed to why a Primary Knee Replacement can fail sometimes. The failure of the primary knee replacement is indicated by pain and swelling in the area. If this indication manifests, then it becomes necessary to consult an orthopedic surgeon immediately.
Who can get Revision Knee Replacement?If the implants placed in the primary knee replacement surgery becomes loose or gets worn down it is called aseptic loosening. This is the common cause of revision knee replacement. The symptoms of aseptic loosening are
- Joint pain may manifest
- Swelling in the joint and in most cases it is swelling of the soft tissue only
- Effusion (accumulation of fluid in the joint)If the implants placed during the primary knee replacement has caused any infection. The infection may manifest immediately while in hospital, or when the patient is discharged and is at home. Sometimes the infection may also show up many years after the surgery is done.
If the ligaments around the implants become damaged and cause instability.
If the implants have caused stiffness of the joint and affect the mobility of the patient.
If the bone around the implant fractures due to any fall or trauma.
Differential Procedures in Revision Knee Replacement Surgery Based on the Cause- If the implant becomes loose or gets worn down, the surgical procedure may simply involve changing the implant completely or the part that has become loose or worn down. In either case, the reason for implants becoming loose and worn down are studied before the revision.
- If the plastic spacer in between the two bones wears off, it may sometimes give out tiny plastic particles. These particles might accumulate around the joint. The body senses these tiny particles as foreign bodies and begins to attack them. This attack can sometimes cause the adjoining bone tissues to deteriorate. This deterioration of healthy bone tissue is called osteolysis. In such cases, revision knee replacement surgery requires removal of the implant that has become loose, removal of the tiny materials that have accumulated adjoining the implants, correction of the bone that has undergone osetolysis, and placing a new implant.
- If the revision is due to the infection in the plastic spacer alone and there no bone loss, the plastic spacer alone is replaced in the revision surgery. The metal implant is left intact.
- If the infection sometimes is deep-rooted, the implants might require complete removal. The revision knee replacement might be staged and there might be two surgeries to completely get rid of the infection. In the first surgery, the implant is completely removed and a temporary cement spacer is placed in between the bones. After this several doses of antibiotics are administered while the spacer remains inside for few weeks. After the surgeon confirms that the infection has cleared out, the second surgery is performed. In this, the temporary cement spacer is removed and another implant is placed.
- If the revision surgery is necessitated due to the instability caused by the damaged ligaments, they are repaired.
General Revision Knee Replacement Surgical Procedure
Whatever might be the cause that necessitates Revision Knee Replacement Surgery, the following procedures are done in any revision surgery.
The orthopedic surgeon makes an incision along the same line as the earlier surgery. The incision might be longer than the first surgery most times. Because the implants already placed should be removed in most cases and a longer incision facilitates the removal.After the previous implant is removed, the bone will have to be prepared for the revision implant. In cases where there is bone loss around the knee, metal augments are added to compensate for the bone loss.
The ortho surgeon proceeds to then insert the revision implant. The surgeon will then proceed to repair the soft tissues surrounding that may have been damaged.The surgeon then carefully tests for the mobility of the joint. If everything is fine, a drain is placed in between the muscle tissue to facilitate healing.The knee capsule is closed and then the adjoining muscle tissues are sutured together to close the entire incision.
Cemented
A cemented hip replacement uses a polymethylmethacrylate (PMMA) bone cement to fix the implant surface to the bone. The bone cement creates a grout and fixes the implant by acting as an interlocking surface between the implant and the bone rather than simply gluing the implant to the bone.
Hemi Arthroplasty
A hip hemiarthroplasty is a surgical procedure where half of the hip is replaced. This procedure is typically used to repair a broken or fractured hip but can also be used to treat a hip damaged by arthritis.
Uncemented
Uncemented hips rely on biological fixation of bone to a surface coating on the prosthesis. Initial fixation is achieved by inserting a prosthesis slightly larger than the prepared bone-bed, generating compression hoop stresses, and obtaining a so-called “press-fit.”
Hemi Arthroplasty
Shoulder hemiarthroplasty is a shoulder replacement in which the damaged humeral head is replaced with a prosthetic humeral head. Shoulder arthroplasty is a rapidly evolving area of orthopedics focused on treating specific, painful ailments of the glenohumeral articulation.

Total Replacement
The standard total shoulder replacement involves replacing the arthritic joint surfaces with a highly polished metal ball attached to a stem, and a plastic socket.
These components come in various sizes. They may be either cemented or press fit into the bone. If the bone is of good quality, we can use a non-cemented (press-fit) humeral component. If the bone is soft, the humeral component may be implanted with bone cement. In most cases, an all-plastic glenoid (socket) component is implanted with bone cement.
Reverse Shoulder Replacement
In a reverse total shoulder replacement, the rounded head of the upper arm bone is removed Using screws and special tools, and a plastic socket is attached to the remaining bone. The socket of the shoulder blade is also removed and is then replaced with a metal ball.
Total Elbow Replacement
In total elbow replacement surgery, the damaged parts of the humerus and ulna are replaced with artificial components. The artificial elbow joint is made up of a metal and plastic hinge with two metal stems. The stems fit inside the hollow part of the bone called the canal.
There are different types of elbow replacements, and components come in different sizes. There are also partial elbow replacements, which may be used in very specific situations
